Feline Osteoarthritis: Diagnosis & Treatment (part 3)


Diagnosis
A complete physical examination is fundamental but might be challenging in the feline patient. 
The examination should take place in a quiet and stress-free environment and the use of pheromone sprays or diffusers in the waiting and consulting areas come in handy to relax the cat. Ideally the cat’s gait will be assessed in the consulting room, but this is sometimes difficult. Remember that cats do not walk in straight lines and are not trained like dogs, they are generally more interested in exploring the unfamiliar environment or look for places to hide. Palpation and manipulation of the joints must be done delicately and it is common for some cats to be annoyed by these procedures and react aggressively even if joints are normal and pain free.

Pain is most often elicited on extremes of joint motion but is still very difficult to evaluate. If a cat becomes aggressive and uncooperative during the physical examination there is no benefit in continuing.

The ideal and practical approach is to receive home videos recorded by the owner, that way the practitioner can assess gait abnormalities in both standing position and when the cat is walking, running or jumping, or reluctant to do so, at its own environment.

Joint thickening, synovial effusion, reduced range of motion and crepitus are significantly less apparent in the cat compared with the dog. When possible, the examination should include both orthopedic and neurological evaluation, in addition to an assessment of spinal pain, particularly lumbar and lumbosacral pain, since cats with spondylosis can show behavioral changes similar to those seen with OA. It has been shown that clinical signs are not always consistent with radiographic changes, suggesting little correlation between the two or that radiographic surveys are not being performed in cats as much as in dog patients.

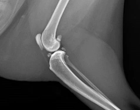
ML view of a feline stifle: Intra-articular soft tissue thickening (compatible with infra-patellar fat pad mineralization)

The hip and elbow joints seem to be commonly affected and bilateral disease is consistently a feature. While according to other studies, affected joints in descending order of frequency were hip, stifle, tarsus and elbow. Many cats have more than one joint affected. Studies suggest that osteophytosis is less evident in cats compared with other species.
A more recent study of a randomly selected 100 cats (age from 0 to 20 years old) found that 92% of the cats had radiographic evidence of DJD and that 91% had at least one site of appendicular DJD.   
The radiographic features of OA and DJD in cats have not been extensively described, although some studies provide useful information.

LL view of a feline lumbo-sacral spine: osteophytes at the ventral surface of L7-S1 vertebrae

Unfortunately most clinicians lack the experience of regularly looking at articular radiographs of cats and recognizing abnormalities. In the dog, the presence of osteophytes is the key radiographic feature of OA, but in the feline patient these can be difficult to identify or even absent. It is not unusual to see soft tissue mineralization within feline arthritic joints. Soft tissue thickening and synovial effusion can be evaluated by radiography but are less apparent in feline OA than in other species.
Radiographically normal joints can be pathologically and clinically affected, and radiographically affected joints can be pain free.

  • Radiographic features of Feline OA with educational Images are available in the following articles:
    Bennett D, Zainal Ariffin SM, Johnston P. Osteoarthritis in the cat: 1. how common is it and how easy to recognise? J Feline Med Surg. 2012 Jan;14(1):65-75.
    Lascelles BD, Henry JB 3rd, Brown J, Robertson I, Sumrell AT, Simpson W, Wheeler S, Hansen BD, Zamprogno H, Freire M, Pease A. Cross-sectional study of the prevalence of radiographic degenerative joint disease in domesticated cats. Vet Surg. 2010 Jul;39(5):535-44. 

Treatment
Osteoarthritis (OA) is very common in the cat and is associated with significant long-term pain, impaired mobility, and it severely compromises the patient’s quality of life.
Treatment options currently available consists of diet modification, environmental enrichment (for example providing the cat comfortable bedding and ramps), medical therapy, physical rehabilitation and oral nutritional supplements.
Medical management of chronic arthritic pain in cats is a major challenge, and many analgesic drugs used in other species are not licensed, not available or not tested for use in the cat. Many older cats with painful OA have concurrent chronic kidney disease (CKD) and many clinicians are reluctant to prescribe non-steroidal anti-inflammatory drugs (NSAIDs) in these patients due to the potential for nephrotoxicity.
There are several publications that show that meloxicam is an effective and safe NSAID for cats and can be used long-term especially when used at the lowest effective dose.  
There is published evidence that meloxicam can actually slow the progression of CKD in this species. Other proposed drugs that are used to treat chronic pain in the cat are currently lack documented evidence of their efficacy in OA.
There is limited evidence for the effectiveness of omega-3 fatty acid-rich diets and nutraceuticals (glucosamine and chondroitin) in managing feline OA. Studies suggest some pain-relieving effect, but further evidence is required.

  • Further reading material, specifically regarding treatment options and mechanism of action of different molecule, is available in this article:
    Bennett D, Zainal Ariffin SM, Johnston P. Osteoarthritis in the cat: 2. how should it be managed and treated? J Feline Med Surg. 2012 Jan;14(1):76-84.

Surgical solutions for a painful arthritic joint consist of total hip replacement or arthrodesis.
Surgical therapy is rarely used in the cat, mainly because of multiple joints involvement, the specific joint affected (most often the elbow) and the age of the patient. Joint debridement and removal of osteochondral bodies may help to temporarily relieve pain but is not considered a permanent solution due to possible recurrence.

Although there is an increasing awareness of feline OA, it is still an overlooked and underdiagnosed condition, and many clinicians still appear to believe that cats with musculoskeletal pain do not deserve an adequate and specific analgesic therapy.

I firmly believe that management of pain associated with OA in cats must include attempting to improve the cat’s living environment, minimizing stressful situations, improve their comfort and quality of life.


Sources:

Allan GS. Radiographic features of feline joint diseases. Vet Clin North Am Small Anim Pract. 2000 Mar;30(2):281-302,
Kerwin SC. Osteoarthritis in cats. Top Companion Anim Med. 2010 Nov;25(4):218-23. doi: 10.1053/j.tcam.2010.09.004.
Bennett D, Zainal Ariffin SM, Johnston P. Osteoarthritis in the cat: 2. how should it be managed and treated? J Feline Med Surg. 2012 Jan;14(1):76-84.
Bennett D. Canine and feline osteoarthritis. In: Ettinger SJ, Feldman EC. eds. Textbook of veterinary internal medicine. 7th edn. Philadelphia: Saunders Elsevier, 2010: 750. 
Hardie EM, Roe SC, Martin FR. Radiographic evidence of degenerative joint disease in geriatric cats: 100 cases (1994–1997). J Am Vet Med Assoc 2002; 220:628–32.
German AJ, Ryan VH, German AC, Wood IS, Trayhurn P. Obesity, its associated disorders and the role of inflammatory adipokines in companion animals. Vet J 2010; 185:4–9.
Slingerland LI, Hazewinkel HAW, Meij BP, Picavet Ph, Voorhout G. Cross-sectional study of the prevalence and clinical features of osteoarthritis in 100 cats. Vet J 2011; 187:304–9.
Clarke SP, Bennett D. Feline osteoarthritis: a prospective study. J Small Anim Pract 2006; 47:439–45.
Bennett D, Morton CA. A study of owner observed behavioural and lifestyle changes in cats with musculoskeletal disease before and after analgesic therapy. J Feline Med Surg 2009; 11:997–1004.

Previous
Previous

Osteochondrosis

Next
Next

Feline Osteoarthritis: Etiology & Symptoms (part 2)