Welcome to OrthoVetInfo!
I created this space so I can share my experience and insights as a veterinary orthopedic surgeon, offering clear and approachable veterinary orthopedics content that hopefully can be valuable for owners and veterinary professionals with similar interests.
I invite you to explore the Clinical Cases section, a dedicated space where we examine real-life orthopedic challenges encountered in veterinary practice, the treatment strategies and the clinical outcome.
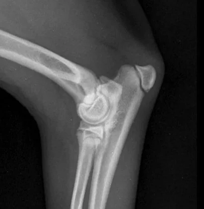
Early Diagnosis of Hip & Elbow Dysplasia in Dogs
Hip and elbow dysplasia are the most frequent skeletal orthopedic diseases affecting growing dogs.
Early detection of the disease is crucial to be able to modify the development of the affected joint and limit the progression of the disease and cartilage damage.