Early Diagnosis of Hip & Elbow Dysplasia in Dogs

Hip and elbow dysplasia are among the most common skeletal orthopedic diseases affecting growing dogs and can significantly impact a dog’s quality of life. They involve malformation of the joints, leading to an imbalanced load distribution within the joint and, consequently, to cartilage erosion, inflammation, and arthrosis.

Once degenerative joint disease has developed, it is considered irreversible. Therefore, early detection is crucial to allow modification of the affected joint’s development and to limit disease progression and cartilage damage.

Common signs & symptoms are lameness, altered gait, exercise intolerance, pain / discomfort.

Early diagnosis

The first signs of dysplasia can already be detected with certainty at the age of 4 months (5 months in giant breed dogs).

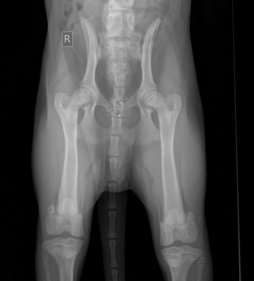
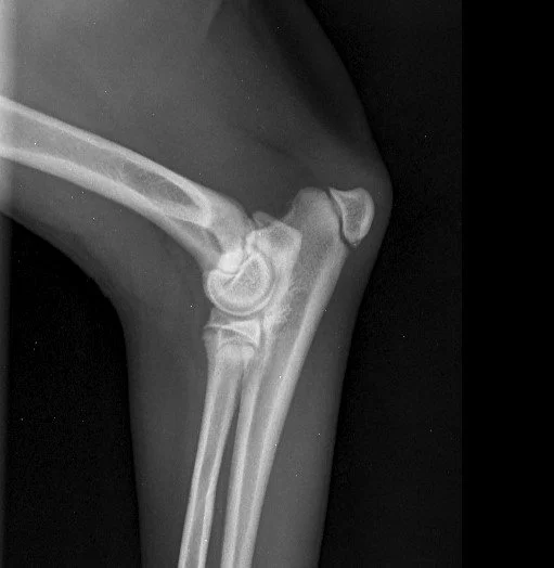
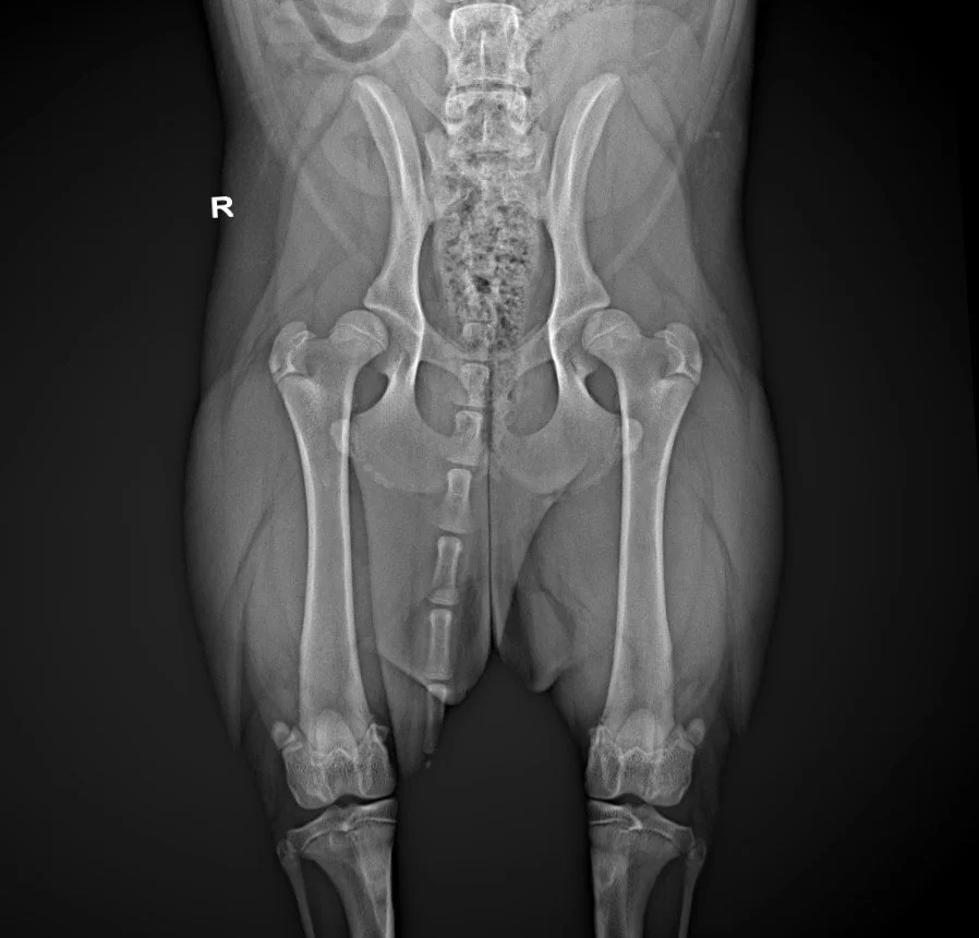
1)      Orthopedic examination

2)      Diagnostic imaging: x-ray under sedation, in some cases combined with CT scan to assess joint conformation minimal joint surface defect (especially in the elbow joint where radiology is indicated for initial assessment but not sensitive enough to confirm the diagnosis).

Luckily for pet owners, with the right approach, both conditions can be managed effectively if detected early.

Why are some puppies overlooked?

  • Puppies often do not undergo dysplasia screening because they do not show clinical symptoms.
    Note: It is important to emphasize that puppies aged 4–5 months often do not present symptoms, even when severely affected, due to their low body weight and their ability to tolerate initial cartilage damage.

  • In other cases, puppies are overlooked because their parents are reported to be non-dysplastic.
    Note: A non-dysplastic parent can be a healthy carrier of disease-associated genes and may therefore transmit dysplasia to offspring despite not being clinically affected.

Large and giant breed dogs are at greater risk to develop dysplasia. For example: the Labrador and the Golden Retriever and their crosses, the German Shepherd, the Rottweiler, the Boxer, the Border Collie, the Newfoundland, the Dogue de Bordeaux, the Cane Corso, and, in general, all molossoids, giant breeds and their crosses.

Remember: early detection is key to managing this disease, often through weight control, physical therapy, medication, or surgery to improve comfort and quality of life.

Next
Next

TPLO post-op care instructions